Componentes de las células eucariotas
Todas las células se caracterizan por presentar tres estructuras principales: membrana plasmática, citoplasma y material genético.
La bomba sodio-potasio es un ejemplo de cómo se lleva a cabo el transporte activo en las membranas celulares. En este enlace puedes ver cómo actúa:
bit.ly/Bomba_sodio_potasio
Membrana plasmática
La membrana plasmática es una estructura que rodea a la célula separándola química y físicamente del medio extracelular. Está formada por una bicapa de lípidos semipermeable que aísla selectivamente a la célula al permitir únicamente el paso de determinadas moléculas. Esta característica hace que la membrana plasmática esté íntimamente relacionada con el transporte de sustancias en la célula.

Citoplasma y orgánulos celulares
El citoplasma rodea al núcleo y está delimitado por la membrana plasmática. Está compuesto por una sustancia gelatinosa denominada hialoplasma, formada principalmente por agua y proteínas. En ella se encuentran inmersos los orgánulos y es donde tienen lugar muchas reacciones metabólicas.

Los orgánulos son unas estructuras con una forma y función características.

Núcleo
El núcleo es una estructura exclusiva de las células eucariotas; está formado por una envoltura, el nucleoplasma y por fibras de cromatina.

El ADN contiene la información necesaria para dirigir la maquinaria celular. Esta molécula presenta diferentes grados de condensación. De hecho, aparece prácticamente en todo momento unida a histonas, unas proteínas que permiten un mayor nivel de empaquetamiento:

Los cromosomas únicamente aparecen en el momento de la división celular, una vez que el ADN se ha duplicado. Todos ellos presentan estructuras comunes:

Según la ubicación del centrómero, se distinguen cuatro tipos de cromosomas:
En cada división se pierden pequeños fragmentos del ADN telomérico. Esta pérdida de información está directamente relacionada con el envejecimiento.
El Cabimer (centro andaluz de biología molecular y medicina regenerativa) está llevando a cabo un estudio con células madre que permita predecir y anticipar el desarrollo de enfermedades propias del envejecimiento.

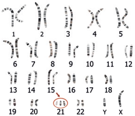
Al conjunto de cromosomas de un individuo ordenado según sus características morfológicas se le denomina cariotipo. Estas características se basan en la longitud del cromosoma, la posición del centrómero y el bandeado que presente. En el cariotipo de una célula se distinguen dos clases de cromosomas:

En el ser humano existen 23 parejas de cromosomas, de las cuales 22 son autosomas y una es la pareja de heterocromosomas o cromosomas sexuales.
En función del número de cromosomas que presenten, las células se dividen en haploides o diploides:
- Haploides. Se dice de aquellas células que presentan un único juego de cromosomas. Los gametos, es decir, óvulos y espermatozoides, son haploides.
- Diploides. Se dice de aquellas células que presentan dos juegos de cada cromosoma, uno correspondiente al padre y otro correspondiente a la madre. A los cromosomas de la misma pareja se les denomina homólogos.
- ¿Por qué crees que es necesario que el ADN de las células esté tan condensado?
- ¿Cuál dirías que es la principal función del núcleo?
- Observa el cariotipo. Corresponde a un ser humano que presenta una anomalía. Responde las siguientes preguntas:

- ¿Dónde se localiza la anomalía? ¿Por qué?
- Investiga qué consecuencias tiene en el ser humano dicha anomalía.