El ser humano está formado por materia que presenta distintos grados de complejidad, denominados niveles de organización. Los hay más sencillos y más complejos.
1.1 Los niveles de organización más sencillos
Los átomos son las partículas más pequeñas en que puede dividirse la materia, conservando sus propiedades. Son átomos el hidrógeno (H), el oxígeno (O) o el calcio (Ca). A los átomos que forman parte de la materia viva se les denomina bioelementos.
Las moléculas son agrupaciones de átomos, unidos por enlaces químicos. Son moléculas el agua (H2O), el oxígeno (O2) o el carbonato cálcico (CaCO3). Las moléculas que forman parte de los seres vivos se denominan biomoléculas, y tienen un alto contenido en carbono.
Las biomoléculas se agrupan para realizar una función dentro de la célula. Forman los orgánulos como los ribosomas o las mitocondrias.

En cursos anteriores estudiaste que las biomoléculas se clasifican en dos grandes grupos: las biomoléculas inorgánicas (que se encuentran también presentes en la materia no viva), son el agua y las sales minerales; y las biomoléculas orgánicas (que son sustancias exclusivas de los seres vivos), son los glúcidos, los lípidos, las proteínas y los ácidos nucleicos.
COMPRENDE, PIENSA, INVESTIGA...
- Busca información sobre los elementos que componen el ser humano y cita los cinco más abundantes.
- Explica qué tipos de biomoléculas forman parte del ser humano y propón ejemplos de cada uno de ellos.
1.2 Los niveles de organización más complejos
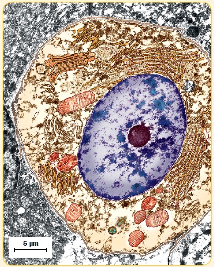
Las células son la unidad estructural y funcional de todo ser vivo; es decir, la parte más pequeña capaz de realizar las tres funciones vitales. Todas las células humanas son eucariotas de tipo animal, aunque se especializan en más de doscientos tipos. Son células las neuronas, los glóbulos rojos y los espermatozoides.
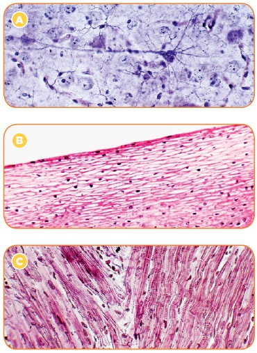
Los tejidos son asociaciones de células semejantes especializadas en la misma función, acompañadas, en ocasiones, de otras sustancias. Ejemplos de tejidos son: el tejido nervioso, el muscular o el epitelial. Los tejidos se agrupan formando órganos, que realizan una función concreta; algunos ejemplos de órganos son el corazón, los pulmones o los riñones.
A su vez, el conjunto de órganos que llevan a cabo una función común constituyen los aparatos y sistemas. Algunos ejemplos son el aparato respiratorio, el excretor o el nervioso.
Finalmente, el cuerpo humano está constituido por el conjunto de órganos, aparatos y sistemas que funcionan de forma coordinada para realizar las tres funciones vitales.
LOS NIVELES DE ORGANIZACIÓN DEL SER HUMANO
Trabaja con la imagen
¿A qué nivel de organización del cuerpo humano corresponden los siguientes ejemplos o agrupaciones?
a) Óvulo.
b) Corazón.
c) Conjunto formado por la boca, el esófago, el estómago, el intestino, el páncreas, etc.
d) Proteína.
e) Núcleo.
f) Carbono.
COMPRENDE, PIENSA, INVESTIGA...
- Explica qué tipo de células tiene nuestro organismo. Propón ejemplos de células que conozcas.
- Haced dos listas, una con todos los órganos del cuerpo humano que conozcáis; y otra, con aparatos y sistemas.